Join the Equine Dentistry Essentials 3-Day Workshop and Wet Lab for Veterinarians,
happening on 28–30 August 2026. Click here to register now.
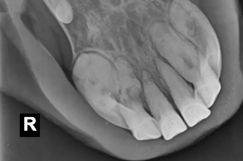
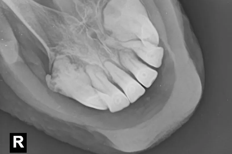
“Equine Odontoclastic Tooth Resorption and Hypercementosis” is a disease that most commonly affects the incisors and canines of horses over 15 years of age. It describes a resorptive process, where the affected teeth are eaten away by the body’s own cells (odontoclasts) and in an effort to counteract this, excess tooth material called cementum is often laid down (hypercementosis).
There are a few theories about why EOTRH happens, and the general understanding is that the biomechanical forces on the periodontal ligaments (which attach the teeth to the bone) are increased in older horses due to the shape of their teeth. There is also secondary involvement of micro-organisms (bacteria) that contribute to disease progression. ¹ As it is the body resorbing its own dental material, there is likely an autoimmune component, but the mechanism isn’t well understood.
EOTRH is definitively diagnosed on X-rays, usually taken when we see changes to the external appearance of the teeth (gingival recession, swellings over the tooth roots and periodontal disease are commonly associated with the disease) or a change in oral behaviours (difficulty chewing or biting down onto carrots, bad breath, bitting problems, head shaking)¹ EOTRH is a very painful condition due to both the destruction of the normal tooth structure, including potentially the nerve supply to the tooth itself, and also the secondary infection and inflammation.
Unfortunately, at this time, there are no known treatments to stop the progression of the disease and repair the damaged teeth. The only known and accepted treatment is the extraction of the affected teeth when the destruction and pain associated with it begin to clinically affect the horse (i.e., severe changes are present on x-rays and/or the presence of clinical signs). We often do the carrot test to gauge comfort levels as well with these teeth.
Horses can still graze, drink, and eat hay, and function completely normally post-extraction (although hay bags with small holes and very short grass may pose a challenge). Most owners report the horse has a better demeanour, appears more comfortable and gains weight after the surgery. Many horses continue to perform in their ridden careers as well. The most noticeable difference after the surgery is that if all the incisors are removed, the tongue will poke out of your horse’s mouth. This is of no consequence and is purely cosmetic (and actually pretty cute!).
Routine dental maintenance, including comprehensive examination of all dental and oral tissues as well as a full dental chart with recommendations.
Read More Read MoreOur vets will work with you and your horse on a comprehensive and tailored preventative dental care plan.
Read More Read MorePerforming everything from endodontics, restorations, extractions and treating advanced periodontal disease.
Read More Read MoreThese include wellness consultations, vaccinations, microchipping, faecal egg counts (FEC), drenching, blood testing for metabolic disease, radiographs, euthanasia services and lameness work ups.
Read More Read MoreTake advantage of the state-of-the-art facilities our clinic has to offer. We are equipped with stables and yards with post, rail and mesh fencing and reticulated paddocks for your convenience. Clients can leave their horses for dental treatments, or stay and watch.
Read More Read MoreWhile we pride ourselves on our industry-leading clinic, we also bring premium care directly to your property when needed. Our mobile units are fully equipped to bring the same quality of care wherever you are.
Read More Read MoreDental Vet is based at 440 Nicholson Road, Forrestdale WA, just south of Perth. Our purpose-built equine dental clinic provides a calm, safe space for routine and advanced dental procedures. As fully qualified veterinarians, we can also provide our patients with a range of wellness services for your convenience.
The clinic is just off Armadale Road. It’s also worth noting that there are two driveways onto the property. The first driveway when heading south down Nicholson Road, which usually has a Dental Vet sign out the front, is the driveway to access the clinic. Look for the big grey gates and push the button to open them.
While we love welcoming clients to our state-of-the-art clinic, we also understand that sometimes on-farm consultations and treatments are preferred for your convenience.
Our fully equipped mobile service is available throughout Perth’s south-east corridor and nearby regions, including Perth, Armadale, Byford, Oakford, and Serpentine. However we can travel as far south as Harvey, east to Toodyay or north to Lower Chittering, typically anywhere around 100km of the Forrestdale clinic.
If you’re unsure whether we can visit your area, get in touch and we’ll be happy to confirm.
We’re Western Australia’s only dedicated equine dental veterinary clinic, offering both comprehensive routine and advanced equine dentistry. Our services include dental examinations, floating, extractions, fillings, root canal therapy, periodontal therapy, and oral X-rays.
As part of your appointment, we offer a variety of wellness services for your convenience. Our veterinarians can perform vaccinations, microchipping, faecal egg counts (FEC), drenching, blood tests for metabolic disease, radiographs and lameness work-ups.
We also pride ourselves on providing compassionate care and thorough examinations, so we provide sedation for our patients for their comfort and to allow us to properly diagnose and treat any dental pathology present.
All procedures are carried out by registered veterinarians Dr Kirsten Jackson and Dr Victoria Kö-Peternelj, veterinarians with postgraduate qualifications in equine dentistry. Each has extensive training and provides clinical and educational support for referring veterinarians.
As veterinary surgeons, they can administer sedation safely, diagnose complex dental issues, carry out patient wellness assessments and perform advanced medical or surgical treatments.
Our Veterinary Nurse Kelly Dunford and Veterinary Assistant Meg Burns support every procedure, ensuring each appointment runs smoothly and that your horse remains calm and comfortable throughout.
Dental Vet provides care for all equine species including horses, ponies, donkeys and mules. Our team is experienced in managing the unique dental needs of each, ensuring every patient, from the smallest miniature to the largest draft horse, receives safe, effective and compassionate treatment.
Dental problems can cause pain, weight loss and behavioural problems. Many horses hide discomfort until it becomes severe. Unfortunately by the time they present symptoms, the issue has usually escalated to severe infections and disease which can impact the lifespan of their smile and overall health. For ridden horses, placing a bit in a painful mouth can make them resist, act out, or even become dangerous. Studies show almost 60% of Western Australian horses have some form of peripheral caries, often linked to local diet and water pH 1. This highlights why regular, professional veterinary dental examinations are essential for horse health in our region.
We love Kirsten from Dental Vet! She has been looking after Tinos teeth since he was 5 and he’s now 16. She is very kind and patient with Tino even when he can be a bit challenging and fidgety at times. Her advice and support has helped improve Tinos dental health over the years.
Thankyou Kirsten for a top job every time! We really appreciate your service
Have only just started using the services of these professional, kind Dental Vets. Our first impression was very prompt communication, leading to prompt arrival time, and treating both of our very different horses with exactly what they needed,to get the job done, with what stood out to me as genuine kindness to our two babies.The teamwork between Dr Tory and her colleague was great and they worked together seamlessly and even when we panicked a little with a bit of bleeding they both stayed super calm yet i knew they where keeping there eyes on him.
Kirsten has been my horses dentist since she started back in 2010 and I wouldn’t use anyone else. She shows professional, knowledgeable, and genuine care to each and every horse. Her meticulous consults and work are not only beneficial to your horse but also to you as an owner. Kirsten spends the time to explain what she is doing, what she has found, what you as an owner should look for and what you can do. The learnings I have had over the years have given me a better understanding of my horses and how valuable qualified and experienced dentists like Kirsten are. There are not enough words to describe what an amazing person she is and the service her and her team provide. Our family highly recommend Dental Vet to anyone.
Kirsten is wonderful with my horses – including a 15yo rescue mare with a distrust of all people who had never had her teeth done in her life. She has been looking after all of my horses for 10 years now and I truly wouldn’t use anyone else. She is gentle, very professional and extremely passionate about dentistry and her research. And being a qualified vet often comes in handy! Would recommend without hesitation 🙂
Dr Kirsten began assisting my horse’s dental situation with my vets while we were regional, and is now taking care of us now we are metro. Very informative, thorough and kind. My boy is in good hands and is getting the best care. Highly recommend.
Dr Kirsten has looked after the dental health and general well-being of my horses for 11 years. She is absolutely meticulous and has the most caring manner with both horses and humans. We are incredibly fortunate to have such a knowledgeable equine dental professional in Western Australia.
I highly recommend Dr Kirsten and her team. My warmblood gelding has had several difficult and problematic teeth issues that Dr Kirsten worked through systematically and with great care not only for my horse but for myself to understand all his treatment options and best course of action.
Dr Kirsten is highly intelligent, well read and passionate in her field and gives you 150% every appointment.
AMAZING 🤩 we are so lucky to have such a knowledgeable dental vet here in Perth. I wouldn’t go anywhere else for my horses dental check up and needs. Dr Kirsten gives a top quality service and is beautiful with the horses. Highly recommend!
An outstanding equine dental experience! Dr Jackson and her team provide an exceptionally thorough and professional service, taking the time to build relationships with each individual client (both human and equine!). They even allow for overnight accommodation for your horse if you don’t have the time to wait during the procedure. Last time I accidentally left a windsucking collar behind and they posted it back to me, free of charge 🙂 Highly recommended in all aspects!
Dr Kirsten is lovely and kind. Her good character extends into her work, and together with her amazing knowledge in this industry, you will not go wrong using her equine dental services.
Always extremely happy with Dr Kirsten. She is very knowledgeable, Professional & kind. My horses teeth have never been better cared for!
I have been attending Team Dental Vet since 2010. Or more acutely they have been coming to see me and my horses and ponies. With their portable crush, gentle approach, attention to detail and willing to adapt to the needs of the animals. I couldn’t have asked for a better team to look after my equine family.
Kirsten and her Dental Vet team are wonderful. I’ve trusted her with all of my horses over the past 15yrs as I know without a doubt my horses will get the treatment they need.
Dr Kirsten Jackson has been doing my mare’s teeth since 2015 & I wouldn’t go to any other dentist. Not only does she do a fabulous job every time but she is a wealth of knowledge & always happy to answer questions and explain what she is doing. Would highly recommend her services.
Dr Kirsten, Dr Tori and the lovely nurses have been caring for my horses for 5 years now and even though we have moved further away we will keep coming back for their fabulous services and dedication to thorough dental care. Highly recommend Dental Vet!
I cannot rate Kirsten and her team at Dental Vet highly enough. The Dental Vet staff provide a professional, yet caring, atmosphere during each consultation. Kirsten takes the time to explain all aspects of dental care to her clients, and answers any questions you may have with an educated and friendly manner. The genuine care given to your horse, whether a performance horse or an old sole, is second to none. I wouldn’t take my horses to any other equine dentist!
I’ve used Dental Vet for my herd for over a decade. I switched to Dr Jackson having participated my horses in the evolution of equine dentistry for years, and had a variety of disappointing experiences, some traumatic. Dr Jackson restored my trust and cared for my herd collaboratively so we could always do our best, particularly for the elders, and balance the cost. For her professionalism, generosity of heart, of knowledge and financially, I am eternally appreciative. Our family trusts her with our beloved horse family, and subsequently we trust her staff, who also have never let us down.
Incidentally, we are blessed to have such a notable and internationally recognised Equine Dental expert in Western Australia. Thank you for your service! XJayne Lavender #TheHeartOfHorsemanship
Best equine dentist in Australia. Thorough, kind, efficient, and affordable! Incredible restoration work, top notch care, safe, quiet, and clean facility. Cannot recommend Kirsten and the Dental Vet team enough!!!
Would recommend Kirsten and all her staff to any one. Fabulous on site and comes to me off site with great service. They are all so kind and gentle with myself and my boy and no question is too silly or dismissed. If you want the best for your fur baby then contact Kirsten asap.
Dr Jackson has been Willow’s dentist for 5 years. She has always brought a standard with her second to none. She is a true specialist in this exciting and emerging field of Equine Dentistry. There is so much more to horses’ teeth than rasping sharp points…and once you’ve booked Dr Jackson you will find out exactly why!
Such a professional service and team. They are an asset to the Veterinary industry and have helped me with all of my horses. The knowledge and care is 2nd to none.
Outstanding care for my horses dental health. As a vet myself I am very fussy about who attends to my horses needs. I trust the team at Dental Vet 110%
Progressive vet practice, highly trained veterinarians providing clinical dentistry and dental surgery. These vets really care and go the extra mile for your animal and you.
Kirsten and her team are not only incredibly professional, knowledgeable and skilled, they are also lovely and kind.
Dr Kirsten is very thorough and patient with horses and owners. Always informing, educating and very helpful.
Dr Kirsten, Tara and her team were so gentle and kind with my half blind boy Freckles. Thank you so much for your love and care xxx
Dr Tory and nurse Meg provided kind, gentle and extremely thorough dental care for my horses. Excellent work 🙂
A dental vet Wizz!. Always up front with what needs to be done. Offers alternative treatment options according to budget. Always has the horses best interest central to her care.
Lovely staff very professional and highly skilled vets. My horses dental health is in good hands.
Dedicated, highly educated, exceptional care! Don’t hesitate getting your horses seen by Dr Kirsten!
Kirsten provides the highest quality care for your equine partner. Gold standard care which is hard to find elsewhere.
Absolutely amazing. We are so lucky to having such a caring Dental vet. Love Noeline, Cim & Matt. Xx
Dr Kirsten is top of her game with horse dentistry she has been seeing my horses and donkeys for years. Thank you.
World class facilities and treatment standards. Would highly recommend to any caring horse owner who wants the best for their horses!
Professional, extremely thorough and caring service by Kirsten and the team! Highly recommend!
Super knowledgeable and experienced equine dentists – highly recommended.
Full dental service at a very reasonable price. Highly recommended.
Expert dental care that I can always trust with my horses
Very knowledgeable and amazing professional service
Great experience, great veterinarian
Wonderful service 10/10
Brilliant and knowledgeable.
Whether you've got a new foal, referring a patient for review, or are worried about your horse's wellbeing, we're here to help!