Join the Equine Dentistry Essentials 3-Day Workshop and Wet Lab for Veterinarians,
happening on 28–30 August 2026. Click here to register now.
A lot has changed in our understanding and recommendations in terms of parasite control over the last decade or so, and it can be hard to keep up with what is best practice. Below is some information to help navigate the latest information and recommendations.
Deworming your horse is essential to maintaining its overall health and well-being. Parasites, especially in large numbers, can impact your horse’s digestion, nutrient absorption and energy levels, and over time can lead to weight loss, colic, poor coat condition and even more severe health complications.
Large strongyles (Strongylus vulgaris), often referred to as “blood worms,” are widely recognised as the single most pathogenic nematode of the horse. Though their numbers have reduced mainly due to our “routine deworming” with incidences of clinical disease low, recent trends in countries like Sweden and Denmark are showing reemergence of the parasite due to reduced dewormer use.
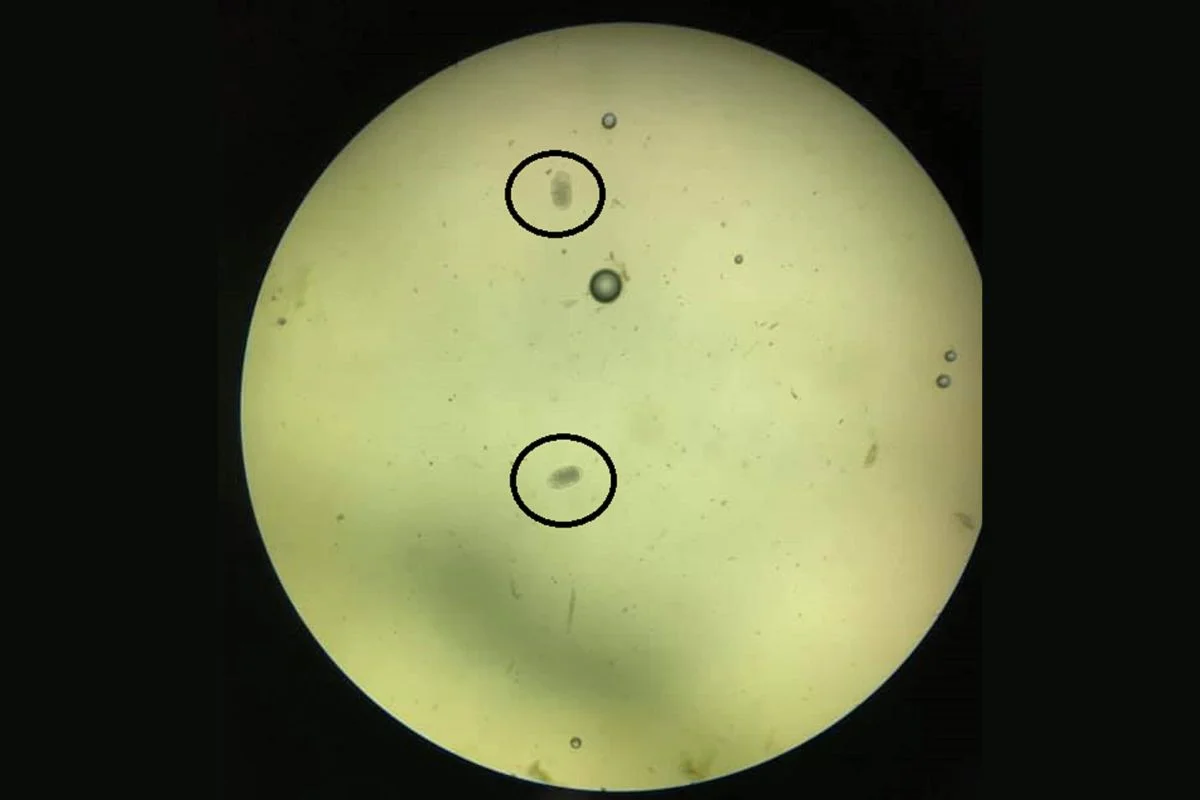
Strongyle eggs under microscope during faecal egg count (FEC)
The strongyle’s life cycle involves migration through the arteries near the intestine, where it causes severe damage, including blood flow obstruction, arterial wall damage, and thrombus formation. This can lead to intestinal infarction, requiring surgery to determine if the disease is treatable, as medical management is ineffective.
In young horses, ascarids and small strongyles (cyathostomins) pose the most significant threat. These horses are particularly vulnerable as they have not yet developed immunity to these parasites. With insufficient parasite programs, large amounts of small strongyles can become encysted in the walls of the intestinal tract and emerge in mass numbers resulting in severe illness such as rapid and severe weight loss and even death. In foals and young horses, ascarid infections can lead to colic and intestinal obstruction, as these worms can grow up to 25cm in length and 4mm in diameter, with large numbers able to completely obstruct the small intestine. Horses with these colic symptoms may respond to medical management; however, at times, surgery may be required to resolve the issue.
Strategic parasite control programs:
Depending on the risk factors associated with your horse, as well as FEC results, an appropriate deworming plan can be implemented for your horse to minimise the development of disease, but also reduce the frequency of treatment. The aim of these types of programs is not to fully eliminate the parasites (unfortunately, not possible), but to reduce them to levels that are considered safe and unlikely to cause clinical disease.
Maintaining a population of parasites within the horse herd that has had minimal exposure to deworming treatment, known as ‘refugia,’ is crucial. Every time we worm a horse, it is selecting for the resistant parasites, as these are the ones that aren’t killed and then go on to reproduce, contaminating the pasture with more resistant parasites. By reducing the frequency of worming, particularly of horses in the low-risk category, we create a larger refugia population. This slows the development of resistance to treatments as the untreated parasites are less likely to be resistant, so ‘dilute out’ the resistant parasites on the pasture.
Deworming and resistance:
Gone are the days when the recommendation was to deworm your horse every 6-8 weeks, as over the last 50 years, our indiscriminate use of dewormers has unfortunately led to the development of resistance. Similar to antibiotic resistance, anthelmintic resistance is the ability for parasites inside your horse to survive deworming treatments that were previously effective in killing them. This occurs due to selection pressure, where the resistant worms survive and continue to reproduce, resulting in parasite populations largely consisting of resistant worms. The more we deworm, the faster this resistance develops.
The concerning part of this is that drug companies have not been able to develop any new products for deworming our horses, and as such, we have to take steps to reduce the frequency of deworming and hopefully slow down the development of widespread resistance.
The risk class associated with your horse will help determine the frequency of deworming required each year. Each horse and situation is different, but here are some generalisations for each group:
Strategic parasite control programs:
Depending on the risk factors associated with your horse, as well as FEC results, an appropriate deworming plan can be implemented for your horse to minimise the development of disease, but also reduce the frequency of treatment. The aim of these types of programs is not to fully eliminate the parasites (unfortunately, not possible), but to reduce them to levels that are considered safe and unlikely to cause clinical disease.
Maintaining a population of parasites within the horse herd that has had minimal exposure to deworming treatment, known as ‘refugia,’ is crucial. Every time we worm a horse, it is selecting for the resistant parasites, as these are the ones that aren’t killed and then go on to reproduce, contaminating the pasture with more resistant parasites. By reducing the frequency of worming, particularly of horses in the low-risk category, we create a larger refugia population. This slows the development of resistance to treatments as the untreated parasites are less likely to be resistant, so ‘dilute out’ the resistant parasites on the pasture.
A FEC is used to determine the shedding status of an individual, whether this be low, moderate or high. It is measured in eggs per gram of faeces and is not an indication of your horse’s worm burden but rather just the shedding status of eggs. High shedders are responsible for most of the parasite eggs shed onto pasture and thus require more frequent treatment than those in the low to moderate category, as leaving the high shedders unchecked means the pasture will be heavily contaminated for all horses. We frequently get FEC results back in the 1000s- just think about that- over 1000 eggs in 1 gram of faeces… times that by 1500g of faeces per poop… times 15 poops/ day…. Every day… that is an astronomical amount of parasites being put on the pasture. By strategically worming the high shedders and at-risk horses, this allows us to balance reducing the level of infective parasites on the pasture for all horses, whilst still maintaining refugia by leaving the lower shedders untreated. FEC’s allow us to identify the high, moderate and low shedders so we can develop a strategic plan for each horse and overall for the property.
To perform a FEC, a small sample of manure is required from your horse (we only use 3 grams, but better to have too much than not enough! Half a sandwich bag full which is taken from different faecal balls is ideal) This is processed and then examined under a microscope to determine how many eggs per gram are within the manure and thus the shedding status of each horse. Limitations to FECs, however, are that they only detect strongly and ascarid eggs primarily. Infections by tapeworm, pinworm, bots and encysted cyathostomes (which don’t pass eggs in the faeces) cannot be determined on a FEC.
FECs can also be used to test the effectiveness of different deworming products and are currently the only way this can be determined. To perform this test, a FEC is performed before and after deworming, and the results are compared to determine if a sufficient reduction in the number of eggs shed has occurred. If not, this can be indicative of resistance, and further investigation may be required.
Current recommendations
It is the responsibility of all horse owners to reduce the use of deworming compounds to the lowest possible level required to prevent clinical disease.
Current recommendations for adult horses are to perform 2 to 4 FECs per year to determine their shedding status and treat at least once yearly with an effective dewormer, with its effectiveness tested using an FECRT.
Younger horses, on the other hand, develop their immunity to parasites over time, making some exposure helpful to promoting this; however, they are more susceptible to parasite-related disease. They also excrete higher numbers of eggs onto pasture, meaning they must be carefully monitored. Treatment is recommended at roughly 3 and 6 months of age, and then FECs should be performed every 3 months after this to facilitate treatment choice.
Pasture management is a major component in reducing pasture contamination and increasing refugia within our horses. Dung removal is by far the most effective way to reduce larval numbers. Resting paddocks can also help to reduce parasitic numbers, as well as Cross grazing with other species such as cows or sheep that are less susceptible. Harrowing manure can also help to reduce the level of eggs on the paddocks; however, care must be taken to not just move the manure and therefore parasites around. Harrowing before hot, dry weather can also be effective at exposing and killing the eggs.
Any new horses should be treated in a way that will minimise the risk of resistant worms contaminating the pasture. General recommendations include separation from other resident horses, deworming with two separate products in a two-week interval, collecting all manure and disposing of it away from grazing areas, and performing an FECRT to confirm the efficacy of treatment.
Routine dental maintenance, including comprehensive examination of all dental and oral tissues as well as a full dental chart with recommendations.
Read More Read MoreOur vets will work with you and your horse on a comprehensive and tailored preventative dental care plan.
Read More Read MorePerforming everything from endodontics, restorations, extractions and treating advanced periodontal disease.
Read More Read MoreThese include wellness consultations, vaccinations, microchipping, faecal egg counts (FEC), drenching, blood testing for metabolic disease, radiographs, euthanasia services and lameness work ups.
Read More Read MoreTake advantage of the state-of-the-art facilities our clinic has to offer. We are equipped with stables and yards with post, rail and mesh fencing and reticulated paddocks for your convenience. Clients can leave their horses for dental treatments, or stay and watch.
Read More Read MoreWhile we pride ourselves on our industry-leading clinic, we also bring premium care directly to your property when needed. Our mobile units are fully equipped to bring the same quality of care wherever you are.
Read More Read MoreDental Vet is based at 440 Nicholson Road, Forrestdale WA, just south of Perth. Our purpose-built equine dental clinic provides a calm, safe space for routine and advanced dental procedures. As fully qualified veterinarians, we can also provide our patients with a range of wellness services for your convenience.
The clinic is just off Armadale Road. It’s also worth noting that there are two driveways onto the property. The first driveway when heading south down Nicholson Road, which usually has a Dental Vet sign out the front, is the driveway to access the clinic. Look for the big grey gates and push the button to open them.
While we love welcoming clients to our state-of-the-art clinic, we also understand that sometimes on-farm consultations and treatments are preferred for your convenience.
Our fully equipped mobile service is available throughout Perth’s south-east corridor and nearby regions, including Perth, Armadale, Byford, Oakford, and Serpentine. However we can travel as far south as Harvey, east to Toodyay or north to Lower Chittering, typically anywhere around 100km of the Forrestdale clinic.
If you’re unsure whether we can visit your area, get in touch and we’ll be happy to confirm.
We’re Western Australia’s only dedicated equine dental veterinary clinic, offering both comprehensive routine and advanced equine dentistry. Our services include dental examinations, floating, extractions, fillings, root canal therapy, periodontal therapy, and oral X-rays.
As part of your appointment, we offer a variety of wellness services for your convenience. Our veterinarians can perform vaccinations, microchipping, faecal egg counts (FEC), drenching, blood tests for metabolic disease, radiographs and lameness work-ups.
We also pride ourselves on providing compassionate care and thorough examinations, so we provide sedation for our patients for their comfort and to allow us to properly diagnose and treat any dental pathology present.
All procedures are carried out by registered veterinarians Dr Kirsten Jackson and Dr Victoria Kö-Peternelj, veterinarians with postgraduate qualifications in equine dentistry. Each has extensive training and provides clinical and educational support for referring veterinarians.
As veterinary surgeons, they can administer sedation safely, diagnose complex dental issues, carry out patient wellness assessments and perform advanced medical or surgical treatments.
Our Veterinary Nurse Kelly Dunford and Veterinary Assistant Meg Burns support every procedure, ensuring each appointment runs smoothly and that your horse remains calm and comfortable throughout.
Dental Vet provides care for all equine species including horses, ponies, donkeys and mules. Our team is experienced in managing the unique dental needs of each, ensuring every patient, from the smallest miniature to the largest draft horse, receives safe, effective and compassionate treatment.
Dental problems can cause pain, weight loss and behavioural problems. Many horses hide discomfort until it becomes severe. Unfortunately by the time they present symptoms, the issue has usually escalated to severe infections and disease which can impact the lifespan of their smile and overall health. For ridden horses, placing a bit in a painful mouth can make them resist, act out, or even become dangerous. Studies show almost 60% of Western Australian horses have some form of peripheral caries, often linked to local diet and water pH 1. This highlights why regular, professional veterinary dental examinations are essential for horse health in our region.
We love Kirsten from Dental Vet! She has been looking after Tinos teeth since he was 5 and he’s now 16. She is very kind and patient with Tino even when he can be a bit challenging and fidgety at times. Her advice and support has helped improve Tinos dental health over the years.
Thankyou Kirsten for a top job every time! We really appreciate your service
Have only just started using the services of these professional, kind Dental Vets. Our first impression was very prompt communication, leading to prompt arrival time, and treating both of our very different horses with exactly what they needed,to get the job done, with what stood out to me as genuine kindness to our two babies.The teamwork between Dr Tory and her colleague was great and they worked together seamlessly and even when we panicked a little with a bit of bleeding they both stayed super calm yet i knew they where keeping there eyes on him.
Kirsten has been my horses dentist since she started back in 2010 and I wouldn’t use anyone else. She shows professional, knowledgeable, and genuine care to each and every horse. Her meticulous consults and work are not only beneficial to your horse but also to you as an owner. Kirsten spends the time to explain what she is doing, what she has found, what you as an owner should look for and what you can do. The learnings I have had over the years have given me a better understanding of my horses and how valuable qualified and experienced dentists like Kirsten are. There are not enough words to describe what an amazing person she is and the service her and her team provide. Our family highly recommend Dental Vet to anyone.
Kirsten is wonderful with my horses – including a 15yo rescue mare with a distrust of all people who had never had her teeth done in her life. She has been looking after all of my horses for 10 years now and I truly wouldn’t use anyone else. She is gentle, very professional and extremely passionate about dentistry and her research. And being a qualified vet often comes in handy! Would recommend without hesitation 🙂
Dr Kirsten began assisting my horse’s dental situation with my vets while we were regional, and is now taking care of us now we are metro. Very informative, thorough and kind. My boy is in good hands and is getting the best care. Highly recommend.
Dr Kirsten has looked after the dental health and general well-being of my horses for 11 years. She is absolutely meticulous and has the most caring manner with both horses and humans. We are incredibly fortunate to have such a knowledgeable equine dental professional in Western Australia.
I highly recommend Dr Kirsten and her team. My warmblood gelding has had several difficult and problematic teeth issues that Dr Kirsten worked through systematically and with great care not only for my horse but for myself to understand all his treatment options and best course of action.
Dr Kirsten is highly intelligent, well read and passionate in her field and gives you 150% every appointment.
AMAZING 🤩 we are so lucky to have such a knowledgeable dental vet here in Perth. I wouldn’t go anywhere else for my horses dental check up and needs. Dr Kirsten gives a top quality service and is beautiful with the horses. Highly recommend!
An outstanding equine dental experience! Dr Jackson and her team provide an exceptionally thorough and professional service, taking the time to build relationships with each individual client (both human and equine!). They even allow for overnight accommodation for your horse if you don’t have the time to wait during the procedure. Last time I accidentally left a windsucking collar behind and they posted it back to me, free of charge 🙂 Highly recommended in all aspects!
Dr Kirsten is lovely and kind. Her good character extends into her work, and together with her amazing knowledge in this industry, you will not go wrong using her equine dental services.
Always extremely happy with Dr Kirsten. She is very knowledgeable, Professional & kind. My horses teeth have never been better cared for!
I have been attending Team Dental Vet since 2010. Or more acutely they have been coming to see me and my horses and ponies. With their portable crush, gentle approach, attention to detail and willing to adapt to the needs of the animals. I couldn’t have asked for a better team to look after my equine family.
Kirsten and her Dental Vet team are wonderful. I’ve trusted her with all of my horses over the past 15yrs as I know without a doubt my horses will get the treatment they need.
Dr Kirsten Jackson has been doing my mare’s teeth since 2015 & I wouldn’t go to any other dentist. Not only does she do a fabulous job every time but she is a wealth of knowledge & always happy to answer questions and explain what she is doing. Would highly recommend her services.
Dr Kirsten, Dr Tori and the lovely nurses have been caring for my horses for 5 years now and even though we have moved further away we will keep coming back for their fabulous services and dedication to thorough dental care. Highly recommend Dental Vet!
I cannot rate Kirsten and her team at Dental Vet highly enough. The Dental Vet staff provide a professional, yet caring, atmosphere during each consultation. Kirsten takes the time to explain all aspects of dental care to her clients, and answers any questions you may have with an educated and friendly manner. The genuine care given to your horse, whether a performance horse or an old sole, is second to none. I wouldn’t take my horses to any other equine dentist!
I’ve used Dental Vet for my herd for over a decade. I switched to Dr Jackson having participated my horses in the evolution of equine dentistry for years, and had a variety of disappointing experiences, some traumatic. Dr Jackson restored my trust and cared for my herd collaboratively so we could always do our best, particularly for the elders, and balance the cost. For her professionalism, generosity of heart, of knowledge and financially, I am eternally appreciative. Our family trusts her with our beloved horse family, and subsequently we trust her staff, who also have never let us down.
Incidentally, we are blessed to have such a notable and internationally recognised Equine Dental expert in Western Australia. Thank you for your service! XJayne Lavender #TheHeartOfHorsemanship
Best equine dentist in Australia. Thorough, kind, efficient, and affordable! Incredible restoration work, top notch care, safe, quiet, and clean facility. Cannot recommend Kirsten and the Dental Vet team enough!!!
Would recommend Kirsten and all her staff to any one. Fabulous on site and comes to me off site with great service. They are all so kind and gentle with myself and my boy and no question is too silly or dismissed. If you want the best for your fur baby then contact Kirsten asap.
Dr Jackson has been Willow’s dentist for 5 years. She has always brought a standard with her second to none. She is a true specialist in this exciting and emerging field of Equine Dentistry. There is so much more to horses’ teeth than rasping sharp points…and once you’ve booked Dr Jackson you will find out exactly why!
Such a professional service and team. They are an asset to the Veterinary industry and have helped me with all of my horses. The knowledge and care is 2nd to none.
Outstanding care for my horses dental health. As a vet myself I am very fussy about who attends to my horses needs. I trust the team at Dental Vet 110%
Progressive vet practice, highly trained veterinarians providing clinical dentistry and dental surgery. These vets really care and go the extra mile for your animal and you.
Kirsten and her team are not only incredibly professional, knowledgeable and skilled, they are also lovely and kind.
Dr Kirsten is very thorough and patient with horses and owners. Always informing, educating and very helpful.
Dr Kirsten, Tara and her team were so gentle and kind with my half blind boy Freckles. Thank you so much for your love and care xxx
Dr Tory and nurse Meg provided kind, gentle and extremely thorough dental care for my horses. Excellent work 🙂
A dental vet Wizz!. Always up front with what needs to be done. Offers alternative treatment options according to budget. Always has the horses best interest central to her care.
Lovely staff very professional and highly skilled vets. My horses dental health is in good hands.
Dedicated, highly educated, exceptional care! Don’t hesitate getting your horses seen by Dr Kirsten!
Kirsten provides the highest quality care for your equine partner. Gold standard care which is hard to find elsewhere.
Absolutely amazing. We are so lucky to having such a caring Dental vet. Love Noeline, Cim & Matt. Xx
Dr Kirsten is top of her game with horse dentistry she has been seeing my horses and donkeys for years. Thank you.
World class facilities and treatment standards. Would highly recommend to any caring horse owner who wants the best for their horses!
Professional, extremely thorough and caring service by Kirsten and the team! Highly recommend!
Super knowledgeable and experienced equine dentists – highly recommended.
Full dental service at a very reasonable price. Highly recommended.
Expert dental care that I can always trust with my horses
Very knowledgeable and amazing professional service
Great experience, great veterinarian
Wonderful service 10/10
Brilliant and knowledgeable.
Whether you've got a new foal, referring a patient for review, or are worried about your horse's wellbeing, we're here to help!